
Prolonged Itraconazole Therapy as Sole Treatment for Patients with Allergic Fungal Rhinosinusitis
B Shah MS et. al. First published: 28 June 2023
Abstract
Background
Currently, the mainstay of treatment for allergic fungal rhinosinusitis (AFRS) is surgical debridement along with topical or systemic steroids. However, prolonged systemic steroid therapy comes with side effects and is also sometimes contraindicated. Systemic antifungals have been used earlier as an adjunct to steroids or in refractory cases, but they have not been used as the sole primary treatment.
Objective
To study the effectiveness of sole Itraconazole therapy in patients with AFRS by comparison of clinical, radiological, and biochemical parameters before and after treatment.
Methods
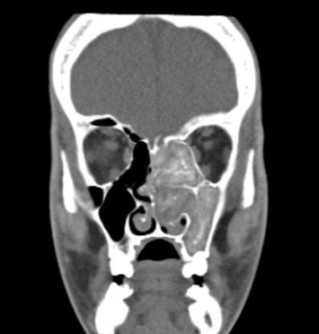
Thirty-four patients diagnosed with localized sino-nasal AFRS were recruited and started on the tablet Itraconazole 200 mg orally twice daily for 3 months with q2weekly monitoring of liver function tests. The baseline clinical, radiological, and biochemical parameters were then compared with those after completion of 3 months of Itraconazole therapy.
Results
There was significant difference between all the parameters—clinical: SNOT-22 score (p < 0.001) and Meltzer endoscopy score (p < 0.001), radiological: Lund-Mackay score (p = 0.004) and 20-point CT score (p = 0.002), and biochemical: serum total IgE (p < 0.001), Aspergillus-specific IgE (p < 0.001), and absolute eosinophil count (p < 0.001). The clearance of the disease was more in anterior sinuses than the posterior ones.
Conclusion
Prolonged Itraconazole can be given as sole therapy in AFRS, especially in patients for whom steroids are contraindicated or in those who are awaiting surgery. It can result in symptomatic and radiological improvement, but surgery still remains the definitive treatment option for AFRS for complete clearance of disease.

KOMEN SAYA:
Good research done.. allergic fungal rhinosinusitis (AFRS) ialah salah satu cabang fungal sinusitis yang tidak invasif, maka tidak berapa bahaya kalau dibandingkan dengan jenis invasif yang kerap dijumpai dalam pesakit COVID-19 yang serius, atau pesakit yang immunocompromised. Maka dengan ubat makan itraconazole sahaja untuk 3 bulan, AFRS dapat dikawal dengan baik, lagi2 kalau jangkitan di bahagian depan sinus. Dengan ini, pakar bedah ENT boleh ‘buy-time’ untuk buat pembedahan lambat sedikit, dan insyallah jangkitan akan lebih terkawal semasa pembedahan, lalu memudahkan pembedahan 🙂
Tapi..itraconazole ni agak mahal..kalau 3 bulan berapa RM yaa?? kena tanya pharmacist la hehe.
Boleh tengok video di bawah untuk lebih tahu apa itu allergic fungal rhinosinusitis.































Leave a comment