
Snoring is a prevalent condition that can significantly disrupt sleep for both the snorer and those around them. While often dismissed as a minor issue, understanding its underlying causes and effective management strategies is vital for enhancing sleep quality and overall health.
Causes of Snoring (In Children)
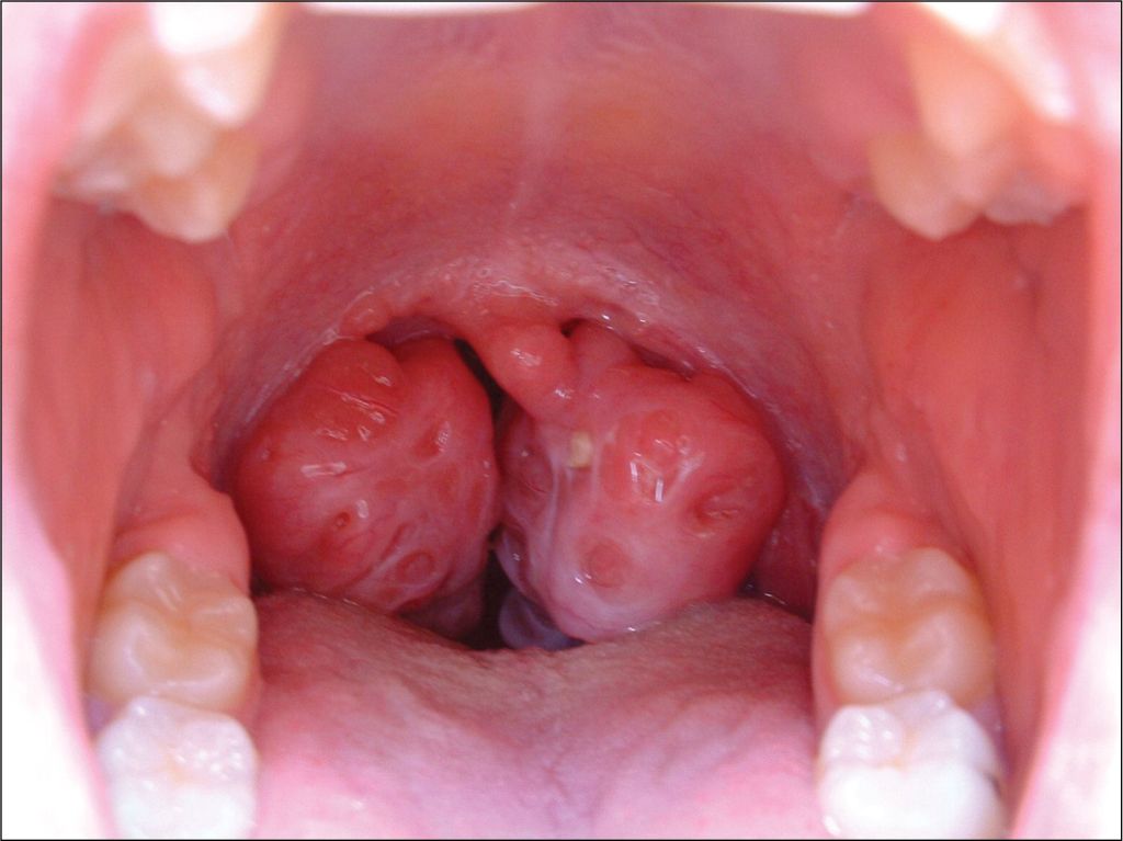
1. Enlarged Tonsils and Adenoid
Research indicates that enlarged tonsils and adenoids are among the leading causes of snoring in children. These structures can obstruct the airway during sleep, leading to snoring and sleep-disordered breathing.


Allergic Reactions
Allergies can result in nasal congestion, making it difficult for children to breathe through their noses. Studies have shown a correlation between allergic rhinitis and increased snoring in pediatric populations.

Obesity
Obesity in children is a growing concern and is associated with increased fat deposits around the neck, which can narrow the airway and exacerbate snoring.

Respiratory Infections
Acute respiratory infections can temporarily obstruct airflow, leading to snoring. This is particularly common in young children.

Causes of Snoring (In Adults)
Obesity
Adult obesity is one of the most significant risk factors for snoring. Excess weight contributes to increased pressure on the airway, which can lead to snoring and obstructive sleep apnea.

Aging
As individuals age, muscle tone in the throat decreases, making snoring more likely. Studies show that snoring prevalence increases with age (Patil et al., 2007).

Sleep Position
Sleeping on one’s back can cause the tongue to fall backward, obstructing airflow. Research indicates that positional therapy can effectively reduce snoring (Mansfield et al., 2012).

Alcohol and Sedatives
The relaxation of throat muscles due to alcohol and sedatives can exacerbate snoring. Evidence supports the idea that avoiding these substances before sleep can improve airway function.

Nasal Issues
Conditions such as chronic nasal congestion and structural abnormalities (e.g., deviated septum) can obstruct airflow and contribute to snoring.

Management Strategies for children
1. Consult an ENT Specialist
A comprehensive evaluation by an ENT specialist can identify anatomical issues like enlarged tonsils or adenoids. Surgical interventions, such as tonsillectomy or adenoidectomy, may be necessary in severe cases.


2. Address Allergies
Identifying and managing environmental allergens can reduce nasal congestion and snoring. Allergy testing and treatment options, including intranasal corticosteroids and antihistamines, are recommended.

3. Promote Healthy Weight
Encouraging a balanced diet and regular physical activity can help manage obesity, which is associated with snoring.

4. Use Humidifiers
Keeping the air moist can alleviate nasal congestion, thereby improving airflow and potentially reducing snoring (Sharma et al., 2020).

Management Strategies for adults
1. Implement Lifestyle Changes
Weight loss through diet and exercise has been shown to significantly reduce or eliminate snoring.

2. Adjust Sleep Position
Encouraging side sleeping can help prevent airway obstruction. Positional therapy devices can assist in maintaining this position.

3. Limit Alcohol and Sedative
Reducing intake, especially before bedtime, can decrease throat muscle relaxation and snoring.

4. Consider Nasal Strips or Dilators
These devices can enhance airflow through the nasal passages, reducing snoring.

5. Sleep Study
A sleep study, or polysomnography, is often recommended for individuals with persistent snoring or suspected sleep apnea. This comprehensive evaluation measures various sleep parameters, including airflow, oxygen levels, and sleep stages. The results can help determine the severity of the condition and guide treatment options.

6. Seek Medical Advice
For persistent snoring, consulting an ENT specialist is advisable. Treatments like continuous positive airway pressure (CPAP) therapy for obstructive sleep apnea can be effective.

7. Sleep Surgery
When conservative treatments fail, surgical options may be considered. Procedures such as uvulopalatopharyngoplasty (UPPP) or somnoplasty can reduce tissue obstruction and improve airflow.

Conclusion
Snoring is a common issue that can impact individuals across all age groups. Recognizing its causes and implementing effective management strategies can lead to improved sleep quality and overall health. If snoring becomes a persistent concern or is accompanied by other symptoms, seeking professional medical advice is essential for appropriate evaluation and treatment.
Click here (Sunway Velocity) or here (Columbia Setapak) to book an appointment with me for consultation and treatment of snoring/sleep apnea.































Leave a Reply