
Dengkur terjadi di mana pesakit menghasilkan bunyi yang kuat semasa tidur, dan ia akan memudaratkan kesihatan pesakit dan juga pasangan akibat tidur yang tidak berkualiti. Amat penting untuk kita ketahui apa punca dengkur dan bagaimana untuk kita tangani masalah ini untuk mendapatkan tidur yang lena dan kesihatan yang berpanjangan.
Penyebab dengkur (kanak-kanak)
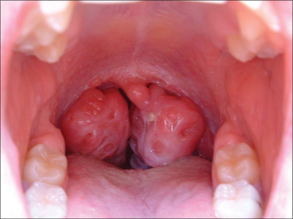
1. Tonsil dan Adenoid yang membengkak besar
Pembesaran (hypertrophy) tisu tonsil dan adenoid akan menyebabkan kedua-dua saluran pernafasan hidung dan mulut tersumbat semasa tidur. Ini akan mengakibatkan dengkur yang kuat dan seterusnya mengurangkan kualiti tidur pesakit.


2. Reaksi allergi hidung (Resdung)
Allergi terhadap allergen (contoh habuk, debu, bulu kucing) boleh menyebabkan hidung berair dan tersumbat. Ini mengakibatkan kanak-kanak sukar untuk bernafas melalui hidung. Kajian mendapati terdapat kaitan yang kuat antara resdung dan berdengkur dalam populasi kanak-kanak.

3. Kegemukan (Obesiti)
Kegemukan di kalangan kanak-kanak adalah masalah yang amat merunsingkan dan ia dikaitkan dengan peningkatan deposit lemak di bahagian leher, yang akan menyempitkan ruang pernafasan dan menyebabkan dengkur.

4. Jangkitan saluran pernafasan
Jangkitan saluran pernafasan akut boleh menyebabkan saluran pernafasan menjadi sempit disebabkan bengkak dan kahak. Ini akan menyebabkan terjadinya dengkur. Perkara ini agak biasa terjadi di kalangan kanak-kanak kecil.

Penyebab dengkur (Dewasa)
1. Kegemukan (obesiti)
Kegemukan di kalangan orang dewasa adalah risiko yang paling besar untuk mendapat masalah dengkur. Lebihan lemak di bahagian sekitar saluran pernafasan menyebabkan tekanan yang tinggi di kawasan tersebut. Ini akan mengurangkan saiz saluran pernafasan dan menyebabkan dengkur serta masalah berhenti bernafas ketika tidur (OSA – Obstructive Sleep Apnea)

2. Proses penuaan
Semakin kita berumur, semakin renggang otot-otot (terutamnya otot lelangit) yang mengawal saluran pernafasan kita. Ini akan menyebabkan saluran pernafasan menjadi sempit ketika tidur dan terjadinya dengkur. Kajian memang menunjukkan bahawa dengkur menjadi semakin lazim dengan meningkatnya usia kita (Patil et al., 2007).

3. Posisi tidur
Tidur posisi “supine” (berbaring dengan wajah dan perut menghadap ke atas) boleh menyebabkan otot lidah tertolak ke bahagaian belakang, sekaligus mengecilkan saluran pernafasan. Untuk mengelakkan masalah ini, pesakit boleh cuba untuk tidur dengan posisi “lateral” (sisi). Kajian mendapati terapi posisi tidur badan boleh mengurangkan dengkur pesakit (Mansfield et al., 2012).

4. Ubat penenang atau minuman beralkohol
Penggunaannya akan menyebabkan tisu otot dalam tekak menjadi lemah (relaxed) ketika tidur lalu menyebabkan dengkur. Penggunaan ubat-ubatan ini seharusnya dielakkan sebelum tidur untuk mengekalkan fungsi pernafasan yang baik ketika tidur.

5. Masalah hidung
Penyakit seperti resdung dan masalah tulang hidung yang senget (deviated nasal septum) boleh menyebabkan saluran hidung yang sempit dan memburukkan lagi masalah dengkur.

Cara tangani dengkur untuk kanak-kanak
1. Berjumpa Pakar ENT
Pemeriksaan yang rapi oleh pakar ENT dapat mengesan masalah anatomi seperti tonsil/adenoid bengkak atau resdung. Pembedahan membuang tonsil dan adenoid kadangkala diperlukan dalam keadaan dengkur yang serius.

2. Tangani allergi dengan berkesan
Pesakit perlu mencari punca dan tangani allergi dengan segera untuk mengurangkan risiko hidung tersumbat dan batuk, yang akan mengakibatkan dengkur. Ujian pengesanan allergy (ujian kulit dan darah) ada dilakukan di sesetengah klinik GP dan kebanyakan hospital. Ubat antihistamine dan spray hidung steroid adalah disyorkan oleh kebanyakan pakar ENT untuk masalah ini.

3. Dapatkan berat badan yang ideal
Menggalakkan pemakanan yang seimbang dan aktiviti fizikal yang berterusan dapat menangani kebanyakan masalah obesiti yang berkait langsung dengan dengkur.

4. Penggunaan alat humidifier
Mengekalkan kelembapan udara dalam bilik dapat mengurangkan masalah resdung dan hidung sumbat, seterusnya mengurangkan risiko dengkur yang disebabkan oleh masalah hidung yang kerap tersumbat (Sharma et al., 2020).

Cara menangani dengkur untuk orang dewasa
1. Tukar kepada cara hidup yang lebih sihat
Penurunan berat badan melalui pemakanan yang seimbang dan aktiviti fizikal yang berterusan, telah dibuktikan dapat mengurangkan atau menghilangkan bunyi dengkur.

2. Ubah posisi tidur
Pesakit digalakkan untuk tidur di bahagian sisi untuk mengurangkan risiko saluran pernafasan tersumbat. Terapi posisi tidur yang betul dapat menyelesaikan dan mengurangkan masalah dengkur.

3. Kurangkan pengambilan ubat-ubatan penenang/alkohol
Pengurangan pengambilan ubat penenang terutamanya sebelum tidur dapat mengurangkan kerenggangan otot tekak, seterusnya mengurangkan risiko dengkur.

4. Pemakaian Nasal Strips atau Nasal Dilators
Pemakaian alat ini pada waktu malam dapat menambahbaik saluran pernafasan hidung, sekaligus mengurangkan masalah dengkur.

5. Ujian tidur (Sleep Study)
Ujian tidur adalah disarankan kepada pesakit yang berdengkur atau OSA. Ujian ini akan mengukur pelbagai parameter tidur seperti pergerakan nafas, paras oksigen badan, dan juga peringkat tidur. Keputusan ujian tidur ini dapat memastikan tahap masalah tidur anda, sekaligus memberi panduan untuk Pakar ENT menangani masalah dengkur dengan lebih berkesan.

6. Pergi berjumpa Pakar ENT
Untuk masalah dengkur yang berkekalan atau semakin serius, adalah disarankan untuk berjumpa dengan Pakar ENT untuk mengetahui dengan lebih lanjut tentang bahagian mana dalam saluran pernafasan anda yang bermasalah. Salah satu cara untuk menangani masalah dengkur yang berkesan dengan kadar segera adalah penggunaan mesin terapi CPAP (continuous positive airway pressure).


7. Pembedahan masalah tidur (Sleep Surgery)
Jika terapi CPAP atau cara rawatan konservatif lain tidak berkesan, pembedahan merupakan salah satu pilihan yang boleh diberikan untuk masalah dengkur. Prosedur seperti uvulopalatopharyngoplasty (UPPP) atau barbed reposition pharyngoplasty dapat mengurangkan penyempitan ruang pernafasan disebabkan oleh tisu tekak berlebihan, sekaligus menambahbaik pernafasan anda ketika tidur.


Kesimpulan
Berdengkur adalah satu masalah yang agak biasa terjadi kepada kebanyakan orang di setiap lapisan umur. Kesedaran tentang punca dengkur dan tindakan untuk tanganinya dengan kadar segera, akan memastikan anda mendapat tidur yang berkualiti dan kesihatan yang berpanjagan. Jika dengkur menjadi lebih serius dan menyebabkan masalah lain seperti jantung bengkak, microsleep dan kelesuan, sila berjumpa dengan Pakar ENT untuk mendapat pemeriksaan yang lebih menyeluruh.
Untuk tempah slot appointment klinik dengan saya, sila klik sini (Sunway Velocity Medical Centre) atau sini (Columbia Setapak).































Leave a Reply